Nổi Nốt Đỏ Ở Bao Quy Đầu Có Sao Không? Nguyên Nhân Và Dấu Hiệu Nhận Biết
Dịch vụ y tế chất lượng cao, mô hình khám 1 bác sĩ – 1 bệnh nhân
Tư vấn y khoa: Bác sĩ chuyên khoa Nam Học - ĐKQT Hà Nội
Đánh giá:
Khi có biểu hiện nổi nốt đỏ ở bao quy đầu, nhiều nam giới thường chịu đựng hoặc tự ý mua thuốc bôi, điều này khiến bệnh càng trở nên nghiêm trọng. Bệnh ở bao quy đầu có thể gây đau khi quan hệ, lây lan đến tuyến tiền liệt, tinh hoàn, ảnh hưởng đến chất lượng tinh trùng, dẫn đến vô sinh, hiếm muộn. Vậy nguyên nhân và dấu hiệu nhận biết bệnh gây nốt đỏ ở bao quy đầu như thế nào?
PHÒNG KHÁM ĐA KHOA QUỐC TẾ HÀ NỘI
(Được Sở Y tế Hà Nội cấp phép hoạt động)
Hotline tư vấn 24/24 giờ: 0243.678.8888 – 082.999.2020
Trò chuyện miễn phí với bác sĩ tại [TƯ VẤN TRỰC TUYẾN]
Bài viết trên báo chí:
Báo VietNamNet đánh giá cao chất lượng dịch vụ y tế tại Đa khoa Quốc tế HN
Báo Tuổi trẻ đề cao sự đầu tư trang thiết bị hiện đại tại ĐK Quốc tế Hà Nội
Báo VnExpress nói gì về dịch vụ khám chữa bệnh tại Đa khoa Quốc tế Hà Nội
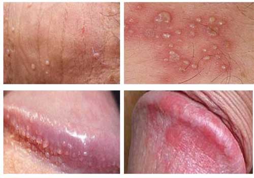
Dấu hiệu nổi nốt đỏ ở bao quy đầu

Không do bệnh lý hoặc do bệnh lý, khi bị nổi nốt đỏ ở bao quy đầu, nam giới thường có biểu hiện như:
Nổi nốt đỏ ở bao quy đầu, quy đầu dương vật.
Sưng tấy dương vật, trầy xước bao quy đầu.
Lộn bao quy đầu có thể thấy mụn đỏ, mảng bám màu trắng có mùi hôi khó chịu.
Đau khi quan hệ, xuất tinh đau, thậm chí xuất tinh có lẫn máu.
Hãy trò chuyện với bác sĩ [TẠI ĐÂY] khi có những biểu hiện bất thường như trên nhé.
Nguyên nhân gây nổi nốt đỏ ở bao quy đầu
Nổi nốt đỏ ở bao quy đầu có thể do dị ứng bột giặt, bao cao su, gel bôi trơn…Đây là biểu hiện bình thường, chỉ cần bạn thay đổi những loại bột giặt, bao cao su, gel bôi trơn để hạn chế tình trạng dị ứng. Hoặc quá trình thủ dâm, quan hệ gây tổn thương, trầy xước bao quy đầu có thể dẫn đến nổi nốt đỏ, chảy máu…
Nguy hiểm hơn, tình trạng nổi nốt đỏ ở bao quy đầu có thể là dấu hiệu các bệnh lý:
Viêm bao quy đầu: Đây là bệnh nam khoa phổ biến mà ai cũng có thể gặp phải, chủ yếu do dài hoặc hẹp bao quy đầu, vệ sinh không sạch, quan hệ tình dục bừa bãi khiến vi khuẩn, nấm có cơ hội phát triển. Triệu chứng điển hình là nổi nốt đỏ ở bao quy đầu, ngứa ngáy dương vật, sưng tấy, lở loét, lộn bao quy đầu có mảng bám màu trắng có mùi hôi khó chịu, đau khi quan hệ, xuất tinh sớm…
Sùi mào gà: Là một trong những bệnh xã hội nguy hiểm, chủ yếu lây qua con đường tình dục, tiếp xúc vết thương hở người bệnh hoặc sử dụng chung đồ dùng cá nhân. Sau 2-9 tháng nhiễm virus human papilloma (HPV) thì người bệnh sẽ có triệu chứng mọc các nốt mụn nhỏ li ti màu hồng nhạt ở bao quy đầu, dương vật (hoặc hậu môn, vòm họng). Sau một thời gian, các nốt mụn phát triển tập trung thành vùng như mào con gà, bề mặt mụn ẩm ướt, khi sang chấn sờ nắn có thể gây trầy xước, chảy máu, lở loét.
Bệnh lậu: Cũng là căn bệnh xã hội nguy hiểm, do vi khuẩn lậu có tên Neisseria gonorrhoeae gây ra. Sau 2-7 ngày nhiễm vi khuẩn lậu, người bệnh sẽ có triệu chứng tiểu buốt, chảy dịch mủ đầu niệu đạo, sưng tấy, nổi nốt đỏ ở bao quy đầu kèm theo đau khi quan hệ, xuất tinh đau, thậm chí xuất tinh ra máu.
Để hiểu rõ hơn từng bệnh lý, nam giới có thể trò chuyện với bác sĩ tư vấn [TẠI ĐÂY], tư vấn hoạt động 24/24 giờ bạn có thể trò chuyện mọi nơi mọi lúc.
Nổi nốt đỏ ở bao quy đầu có sao không?
Khi bị nổi nốt đỏ ở bao quy đầu, nam giới nên đi khám để đánh giá mức độ, nguyên nhân gây bệnh. Vì nổi nốt đỏ ở bao quy đầu có thể gây ra những hậu quả như:
Suy giảm ham muốn tình dục: Tình trạng nổi nốt đỏ thường kèm theo đau khi quan hệ, tình trạng kéo dài sẽ khiến nam giới “sợ quan hệ”, trốn tránh chuyện ấy, suy giảm ham muốn tình dục.
Lây lan bệnh: Vi khuẩn, nấm, tạp khuẩn gây bệnh ở bao quy đầu có thể lây lan rộng đến tinh hoàn, tuyến tiền liệt…ảnh hưởng đến hệ thống sinh sản nam giới.
Ảnh hưởng chức năng sinh sản: Các bệnh ở hệ thống sinh sản như dương vật, tuyến tiền liệt, tinh hoàn sẽ gây suy giảm chất lượng tinh trùng, từ đó ảnh hưởng đến khả năng sinh sản, duy trì nòi giống ở nam giới.
Ung thư dương vật: Nếu mắc phải virus HPV tuýp 16 à 18, nam giới có nguy cơ cao bị ung thư dương vật, thậm chí phải cắt bỏ dương vật để tránh di căn.
Vi khuẩn lậu thường phát triển cùng nấm candida, trùng roi trichomonas gây viêm nam khoa như viêm tinh hoàn, tuyến tiền liệt…ảnh hưởng chất lượng tinh trùng, gây vô sinh hiếm muộn. Thậm chí, vi khuẩn lậu có thể di chuyển vào máu đến các cơ quan khác, trong đó gây viêm màng não, viêm màng tim nguy hiểm tính mạng.
Khám và điều trị các bệnh nổi nốt đỏ bao quy đầu
Hầu hết các bệnh lý gây nổi nốt đỏ ở bao quy đầu đều là những bệnh nam khoa, bệnh xã hội nguy hiểm. Đây là vị trí khá nhạy cảm, ảnh hưởng đến đời sống tình dục và chức năng sinh sản nên cánh mày râu cần thận trọng, đi khám và có phác đồ điều trị phù hợp.

Tùy từng nguyên nhân dẫn đến những nốt ban đỏ ở bao quy đầu, bác sĩ sẽ tư vấn phương pháp điều trị tương ứng, như:
Viêm bao quy đầu: Người bệnh có thể điều trị nội khoa, thuốc có tác dụng tiêu diệt vi khuẩn, chống viêm, giảm đau và cải thiện các triệu chứng tiểu buốt, sưng tấy dương vật…Các bạn tuyệt đối không tự ý mua thuốc chữa trị để tránh gây nhờn thuốc, tác dụng phụ, thậm chí gây liệt dương hoặc sốc thuốc phản vệ nguy hiểm tính mạng.
Sùi mào gà: Đây là căn bệnh đến nay vẫn chưa có thuốc đặc trị, có thể hỗ trợ điều trị bằng phương pháp đốt điện, đốt laser, phẫu thuật nạo mụn sùi, phương pháp công nghệ mới…Nam giới nên đến cơ sở y tế uy tín để đảm bảo hiệu quả điều trị, tránh gây tốn kém do phải điều trị lại nhiều lần.
Bệnh lậu: Mặc dù có thể điều trị bằng thuốc, nhưng theo tổ chức Y tế thế giới thì vi khuẩn lậu đã có khả năng kháng hầu hết các loại thuốc đang có mặt trên thị trường trong điều trị bệnh lậu. Do đó, người bệnh cần tuân thủ nghiêm túc chỉ định của bác sĩ để đảm bảo điều trị hiệu quả, tránh gây nhờn thuốc, thậm chí không thể chữa khỏi.
Điều trị nổi nốt đỏ ở bao quy đầu tại phòng khám Đa khoa Quốc tế Hà Nội
Ngoài các bệnh viện có khoa nam học, nam giới có thể đến phòng khám Đa khoa Quốc tế Hà Nội để khám và điều trị các bệnh gây nốt đỏ ở bao quy đầu hiệu quả. Phòng khám tại 152 Xã Đàn (Q.Đống Đa, Hà Nội) được Sở Y tế Hà Nội cấp phép hoạt động và hợp tác quốc tế với tập đoàn Y tế tại Singapore.

Tùy từng nguyên nhân gây bệnh, bác sĩ sẽ tư vấn phương pháp điều trị phù hợp, như:
Đối với người bệnh có thể điều trị nội khoa, thuốc có tác dụng tiêu diệt vi khuẩn, chống viêm, giảm đau và cải thiện các triệu chứng tiểu buốt, sưng tấy dương vật…
Đối với sùi mào gà, đây là căn bệnh rất khó điều trị, nguy cơ 50% trường hợp tái phát sau 6 tháng điều trị bằng phương pháp truyền thống. Phòng khám đang áp dụng phương pháp ALA-PDT, là phương pháp dùng để phá hủy mô đích một cách chọn lọc, hạn chế tối đa tổn thương mô lành. Phương pháp này sử dụng ánh sáng để kích hoạt phân tử nhạy sáng trong mô bệnh (Thuốc nhạy sáng được dùng trước theo đường toàn thân hoặc đường bôi tại chỗ), phản ứng sinh ra các phân tử oxy hóa mạnh gây phá hủy tế bào đích.

Ưu điểm:
Ứng dụng công nghệ hiện đại: Đây là kết quả của quá trình ứng dụng công nghệ hiện đại vào trong việc cập nhật và ứng dụng các kỹ thuật, phương pháp chữa bệnh sùi mào gà hay các chứng bệnh gây u nhú ở người. Cơ chế hoạt động của ALA – PDT là dựa vào sự tác động qua lại của các nguồn sáng dưới dạng chất cảm quang, oxy nhằm mục đích khắc phục triệu chứng tăng sinh của các tế bào gai trên niêm mạc da cộng thêm một số loại u xơ xuất hiện trên bề mặt da.
Hiệu quả cao: ALA-PDT là phương pháp điều trị phá hủy có chọn lọc với tỷ lệ sạch tổn thương cao, tỷ lệ tái phát thấp; Là phương pháp được lựa chọn điều trị bệnh sùi mào gà đạt hiệu quả cao.
Thời gian điều trị nhanh: Phương pháp ALA – PDT có thời gian điều trị ngắn cộng thêm quy trình điều trị nhanh chóng, người bệnh có thể ra về trong ngày sau khi sức khỏe đã ổn định và không cần lưu viện.
Không để lại sẹo: Nhờ vào đặc tính sử dụng ánh sáng chất cảm quang nên không để lại sẹo trên bề mặt da so với các phương pháp truyền thống, có tính thẩm mỹ cao. Đồng thời, bảo toàn được chức năng của các mô, tế bào có chứa mầm bệnh nên hạn chế được các nguy cơ biến chứng.
Ngăn ngừa tái phát: Ngăn chặn được nguy cơ tái phát từ tận gốc của cấu trúc gen và phá vỡ cấu trúc virus HPV cũng như kích thích cơ thể sản sinh hệ miễn dịch nâng cao hiệu quả điều trị.
Tiết kiệm chi phí: Ngoài những ưu điểm nói trên, khi điều trị sùi mào gà bằng phương pháp ALA – PDT còn giúp người bệnh tiết kiệm thời gian và ít tốn chi phí cho việc điều trị.
Để khám và điều trị các bệnh lý gây nổi nốt đỏ ở bao quy đầu, nam giới có thể trò chuyện với bác sĩ [TẠI ĐÂY], tư vấn viên hoạt động 24/24 giờ sẽ hỗ trợ mọi thắc mắc cho người bệnh vào bất cứ thời điểm nào, kể cả ngày nghỉ và lễ tết.
Đối với bệnh lậu, phòng khám Đa khoa Quốc tế Hà Nội, người bệnh có thể được hỗ trợ điều trị bằng phương pháp đông tây y kết hợp. Đây là phương pháp dựa trên cơ sở thực tiễn trong điều trị lâm sàng, kết hợp giữa máy móc hiện đại và thuốc đông tây y nhằm tiêu diệt vi khuẩn, nâng cao sức đề kháng.
Ưu điểm:
Sử dụng hệ thống kiểm tra vi sinh vật bằng kính hiển vi quang học xác định lậu cầu khuẩn về hoạt tính (cấp tính hoặc mãn tính).
Dựa vào kết quả kháng sinh đồ để đưa ra phác đồ điều trị hiệu quả (đông – tây y hoặc kết hợp vật lý trị liệu nhằm tiêu viêm, tiêu diệt vi khuẩn lậu…)
Từ việc kiểm tra chính xác đặc tính lậu cầu khuẩn giúp việc dùng thuốc đúng cách, hiệu quả, tiêu diệt lậu cầu khuẩn, chấm dứt các triệu chứng của bệnh, đồng thời ngăn ngừa biến chứng.
Thuốc đông y giúp Kích hoạt hệ miễn dịch của cơ thể, giúp hồi phục chức năng sinh lý của các cơ quan, bộ phận trên cơ thể bệnh nhân, hạn chế nguy cơ bệnh tái phát.
Kết hợp các bài thuốc đông – tây y nhằm nâng cao sức đề kháng, tiêu viêm, hỗ trợ điều trị bệnh hiệu quả. PP này phù hợp với những bệnh nhân bị lậu tái phát nhiều lần, bệnh lậu mãn tính. Trên lâm sàng, kết quả điều trị với những bệnh nhân này rất tốt, hiệu quả cao, nhanh chóng, không tái phát sau điều trị.
Trực tiếp điều trị là đội ngũ bác sĩ trình độ chuyên môn cao, có hàng chục năm kinh nghiệm khám chữa bệnh, từ công tác ở các bệnh viện lớn như Việt Đức, Thanh Nhàn…Đối với viêm nhiễm nam khoa, phòng khám có thể hỗ trợ điều trị nội khoa như tây y, đông tây y kết hợp nhằm mang lại hiệu quả triệt để.
Bác sĩ CKII chuyên ngành Ngoại Tiết niệu Lê Đỗ Nguyên: Bác sĩ có hơn 30 năm kinh nghiệm trong nghề, từng là chuyên gia y tế tại Angola được đánh giá uy tín, tận tình và chu đáo.
Bác sĩ CKI Nam học – Ngoại tiết niệu Lê Đỗ Nguyên: Bác sĩ có hàng chục năm kinh nghiệm, nguyên Trưởng khoa Ngoại thận – tiết niệu bệnh viện Thanh Nhàn Hà Nội.
Thời gian đăng ký chỉ mất 1-2 phút, làm việc trong và ngoài giờ hành chính, người bệnh dễ dàng đặt lịch hẹn khám, không gây tốn kém thời gian và chi phí. Mọi thông tin hồ sơ bệnh nhân được bảo mật, chi phí được niêm yết công khai, bác sĩ tư vấn phương pháp điều trị phù hợp khả năng tài chính mỗi người.
Để khám, xét nghiệm và hỗ trợ điều trị các bệnh gây nổi nốt đỏ ở bao quy đầu hiệu quả, người bệnh có thể đặt lịch hẹn bằng 2 cách:
Gọi tổng đài 24/24 giờ 024.367.88888
Hoặc, tránh phát sinh chi phí cuộc gọi, anh em để SĐT tại [tư vấn trực tuyến], tư vấn viên sẽ liên hệ trong thời gian sớm nhất.
Phòng khám mở cửa từ 8 giờ đến 20 giờ 30, tất cả các ngày trong tuần, kể cả ngày nghỉ lễ.
Địa chỉ: 152 Xã Đàn, Q.Đống Đa, Hà Nội
Bài viết KHÔNG có thông tin bạn tìm, liên hệ với bác sĩ chuyên khoa bằng cách:
- Gọi điện trực tiếp tới SĐT của bác sĩ: 0243.678.8888 - 082.999.2020
- Click [Tư vấn trực tuyến] để trao đổi trực tiếp với bác sĩ
- Để tiết kiệm chi phí, bạn có thể [để lại số điện thoại], chúng tôi sẽ liên hệ lại
Hiệu quả hỗ trợ điều trị phụ thuộc vào thể trạng của mỗi người
Tuân thủ theo đúng chỉ định của bác sĩ để mang lại kết quả tốt nhất


















